Home Health

Αλτσχάιμερ: Σπάνια γονιδιακή μετάλλαξη προστάτευσε ασθενή από την εμφάνιση πρώιμων συμπτωμάτων

Από Black Knight 18 Μαΐου 2023 1 λεπτό ανάγνωσης
Αλτσχάιμερ: Σπάνια γονιδιακή μετάλλαξη προστάτευσε ασθενή από την εμφάνιση πρώιμων συμπτωμάτων

Ερευνητές εντόπισαν δεύτερο ασθενή με σπάνια γονιδιακή μετάλλαξη που τον προστάτευσε από την εμφάνιση πρώιμων συμπτωμάτων της νόσου Αλτσχάιμερ. Η ανακάλυψη αυτή θα μπορούσε να βοηθήσει τους ερευνητές να κατανοήσουν καλύτερα τα αίτια της νόσου και ενδεχομένως να οδηγήσει σε νέες θεραπείες.

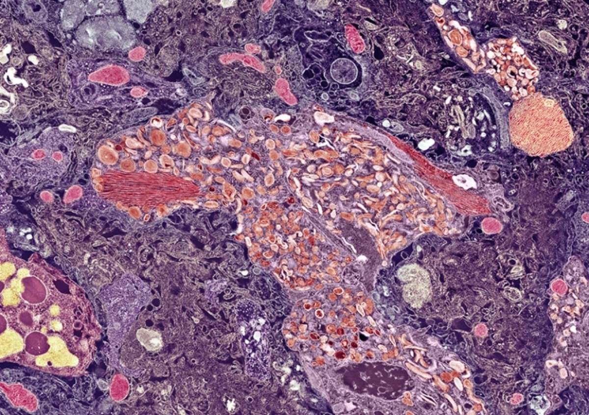
Ο Κολομβιανός άνδρας που εντοπίστηκε πρόσφατα συνέχισε να εργάζεται μέχρι να συνταξιοδοτηθεί στα 60 του και στα 67 του εμφάνισε τα πρώτα σημάδια γνωστικής έκπτωσης. Οι σαρώσεις αποκάλυψαν ότι ο εγκέφαλός του είχε ατροφήσει και εμφάνιζε τα κλασικά, μοριακά χαρακτηριστικά της νόσου: μεγάλο αριθμό κολλώδων πρωτεϊνικών συσσωματωμάτων και πρωτεϊνών tau. Αυτού του είδους τα συσσωματώματα παρατηρούνται συνήθως σε άτομα με σοβαρή άνοια.

Οι ερευνητές διαπίστωσαν επίσης πως ο άνδρας έφερε και μια σπάνια μετάλλαξη σε ένα γονίδιο που κωδικοποιεί την πρωτεΐνη ρεελίνη (reelin) και η οποία φαίνεται ότι τον προστάτευσε από την ανάπτυξη της νόσου Αλτσχάιμερ για περισσότερες από δύο δεκαετίες.

Σε ένα μικρό, συγκεκριμένο τμήμα του εγκεφάλου του, όπου οι νευρώνες εμπλέκονται στη μνήμη και την πλοήγηση, ο άντρας είχε πολύ χαμηλά επίπεδα πρωτεΐνης tau. Η προστατευτική πρωτεΐνη κρατούσε τη νόσο Αλτσχάιμερ μακριά σε αυτή την κρίσιμη περιοχή του εγκεφάλου που συνήθως υποκύπτει στη νόσο αρκετά νωρίς.

Αν και προς το παρόν ελάχιστα είναι γνωστά για το ρόλο της ρεελίνης στη νόσο Αλτσχάιμερ, πειράματα σε ζώα έχουν δείξει ότι η μεταλλαγμένη μορφή της εμπόδισε τη συσσώρευση της πρωτεΐνης tau γύρω από τους νευρώνες στους εγκεφάλους των ποντικών. Η ελπίδα είναι ότι μελετώντας τον τρόπο με τον οποίο η ρεελίνη αλληλεπιδρά με τις πρωτεΐνες του Αλτσχάιμερ και προστατεύει τους νευρώνες, οι ερευνητές θα μπορούσαν ενδεχομένως να βρουν έναν τρόπο να ενισχύσουν την ανθεκτικότητα σε όλες τις μορφές της νόσου Αλτσχάιμερ και όχι μόνο σε όσους κληρονομούν την προστατευτική μετάλλαξη.

Ο άνδρας ήταν μέλος μιας μεγάλης οικογένειας, της οποίας πολλά μέλη είχαν κληρονομήσει την σπάνια γονιδιακή μετάλλαξη. Στην πρόσφατη μελέτη, ο νευρολόγος Φρανσίσκο Λοπέρα, από το Πανεπιστήμιο της Antioquia στο Medellín της Κολομβίας, και οι συνεργάτες του, ανέλυσαν κλινικά και γενετικά δεδομένα από περίπου 1.200 άτομα της συγκεκριμένης οικογένειας. Εντόπισαν τη νέα και εξαιρετικά σπάνια γονιδιακή μετάλλαξη στον άνδρα καθώς και στην αδελφή του, η οποία όμως προσβλήθηκε νωρίτερα από τη νόσο.

Το 2019, ο Λοπέρα και οι συνάδελφοί του ανέφεραν την περίπτωση μιας γυναίκας που έφερε τη μετάλλαξη Paisa, όπως ονομάζεται, αλλά δεν εμφάνισε κανένα σημάδι γνωστικής έκπτωσης μέχρι τα 70 της χρόνια – περίπου 30 χρόνια αργότερα από ό,τι αναμένεται για τους φορείς της συγκεκριμένης μετάλλαξης. Οι μελέτες έδειξαν ότι και αυτή είχε ασυνήθιστα χαμηλά επίπεδα πρωτεΐνης tau στον εγκέφαλό της, αλλά η ανθεκτικότητά της στη νόσο Αλτσχάιμερ αποδόθηκε σε μια μετάλλαξη στο γονίδιο APOE.

Οι ερευνητές πιστεύουν ότι μπορεί να υπάρχει κάποια αλληλεπίδραση μεταξύ της παραλλαγής της ρεελίνης και του APOE που θα μπορούσε να εξηγήσει την προστατευτική τους δράση, ωστόσο είναι πιθανό να συμβάλλουν και άλλες γενετικές μεταλλάξεις. Προς το παρόν, οι επιστήμονες λένε ότι τα ευρήματά τους βοηθούν μόνο στη διαμόρφωση νέων υποθέσεων σχετικά με τη νόσο Αλτσχάιμερ.

Τα ευρήματα της μελέτης δημοσιεύθηκαν στο «Nature».

ΠΗΓΗ: Science Alert